Behandlinger / Digitale billeder
Digitale billeder
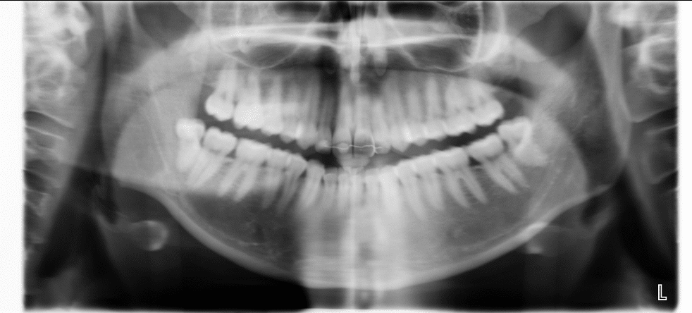
Digital røntgen
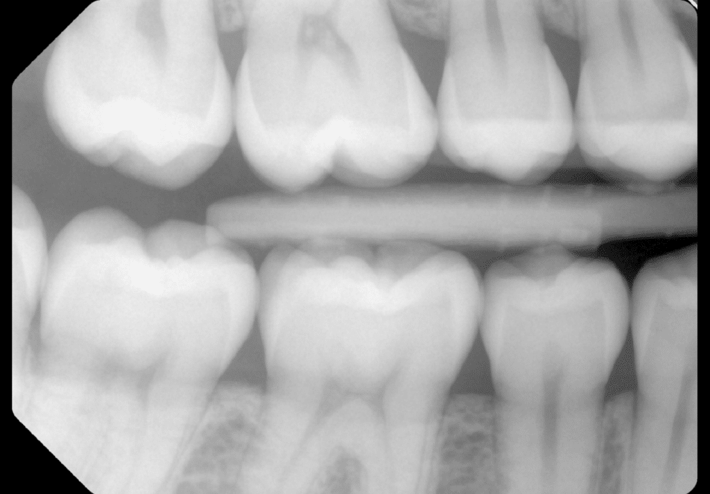
Bitewings med digital sensor
Bitewings er røntgenbilleder taget i hver side af din mund med fokus på mellemrummene mellem dine tænder. Det er her caries oftest udvikler sig enten som et hul i kanten af en gammel fyldning eller på en tandflade der ikke tidligere har været angrebet. På bitewings ses caries i et noget tidligere stadie end hvis vi blot holder os til kun at lave den regelmæssige undersøgelse. Det er der flere fordele ved. Dels kan vi vejlede dig med en grundigere renhold i området, så du med et begyndende hul, kan undgå boret på sigt. Bland andet ved at behandle med Duraphat, som klistre til tanden og indeholder en meget høj mængde fluor, som er med til at bremse videreudvikling af caries. Desuden kan sekundær caries (caries i kanten af en fyldning) og primær caries (et helt nyt cariesangreb) opdages tidligere på det svært tilgængelige sted.
Generelt kan siges at caries der er i et stadie der endnu ikke ses klinisk i din mund, men som ses på bitewings i tandmellemrum, forårsager mindre tab af din tandmasse, og derved forbedre din tands prognose i det lange løb.
På bitewings kan vi også se hvordan dit knogleniveau er med henblik på om du har parodontose. Egentligt kan du sige, at røntgen lader os se alt det der ikke kan ses med vores øjn, når vi kikker ind i munden. Og tit er det netop de ting der ikke ses, som er de vigtigste at opdage. Derfor er røntgen et meget vigtigt og nødvendigt redskab i en moderne tandlæge praksis.
Røntgenstråling?
Er røntgenstråling noget vi skal være nervøse for? Det er et spørgsmål vi tit får, og som der kan svares både ja og nej til. I gamle dage, og her mener vi for bare få år tilbage i tiden, afgav røntgenapparaterne væsentlig større strålingsdosis end de gør i dag. Det er udviklingen der har gjort at det nye og moderne udstyr kun afgiver en meget lille strålingsdosis, og samtidigt faktisk tager bedre billeder.
For at sætte det i perspektiv, så giver en tur i en Orthopan scanner, en dosis der svarer til et døgns normal baggrundsstråling, eller hvad du ville få i et charterfly på under en time. Det er blot en af fordelene ved udstyr der er nyt og topmoderne.
Digital røntgen
Panorama røntgen
CBCT scanning
Intraoral kamera
På klinikken har vi også mulighed for at anvende et mini digitalt kamera, der gør det muligt for tandlægen, at tage et billede af dine tænder.
Optagelserne vises direkte på en tv-skærm, så du og tandlægen umiddelbart kan drøfte forskellige muligheder for behandling.